当不慎接触到84消毒液时该怎样做?
近日,张女士和王女士患了同一种“病”,均因头晕、乏力到医院就诊,但并没有发烧及咳嗽、咳痰、呼吸困难等症状!但她们的胸部CT结果却吓人一跳!

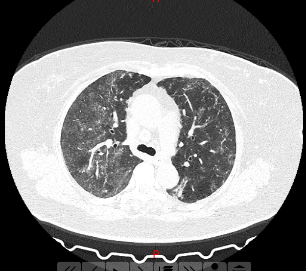
↑↑张女士肺部CT

王女士肺部CT
肺部CT均呈毛玻璃影,难道是新冠病毒?
郑州市中心医院高新区医院管床医师李凤芝反复追问病史,两位均无流行病学史,隔离病区主任张小红看完患者的影像学资料及各项检查结果后说:“这两位患者考虑为过敏性肺泡炎,现在我们必须详细询问病史,了解过敏的物质。”
原来两位女士居家期间,因为害怕新冠肺炎,每天定时在家里喷洒84消毒液,而且都是高浓度的!每次消毒后,张女士和王女士头晕、乏力的症状明显加重!
张小红主任:“张女士和王女士是84消毒液引起的过敏性肺泡炎!”经过3天的抗过敏治疗后复查胸部CT,影像基本恢复正常!
编辑:刘燕
原标题:当心!郑州两女子肺部CT呈毛玻璃影,只因天天在家做这件事
广告
广告
广告